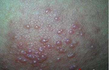
尖锐湿疣又称尖锐湿疣生殖器疣或性病疣。是由人乳头瘤病毒(HPV)感染引起的一种性传播性疾病。它属于性病范畴,是性病的一种,可通过性行为传播。
揭露尖锐湿疣的四大危害:
反复发作可致癌
尖锐湿疣传染性越强,机体免疫系统受到抑制,疾病越不容易痊愈,可以长期反复反复发作,较后,有导致癌变的可能。约15%的宫颈尖锐湿疣、10%的外阴及肛门周尖锐湿疣可以发展成恶性肿瘤;18%的阴 茎癌和9%的女阴癌是由尖锐湿疣诱发的。
根据HPV与宫颈癌的关系,可将其分为两大类型:低危型主要指HPV-6、11型,高危型是指HPV-16、18型。在侵袭性宫颈癌中,有57.4%患者存在着HPV-16、18型,其他学者也有相同发现。还有人从侵袭性宫颈癌中分离出HPV-33和35型。
极强的传染性
尖锐湿疣是由乳头状瘤病毒引起,易在温暖潮湿环境中生长繁殖,故外生殖器是其较适宜的部位。健康人群会因接触被病毒颗粒污染的日常生活用品,如内裤、浴盆、浴巾等传染。
带有高危型病毒,传染性强,可传染给家人或其他人。
严重影响生育
传染婴儿、影响生育质量:患生殖道疣的孕妇,在分娩时,通过产道的婴儿可能被传染,引起婴幼儿的咬吸道疣。
本病如不及时治疗,可危害个人、危害家庭、危害后代、危害社会。
破坏家庭幸福
如果是夫妻双方同时患上可了尖锐湿疣,应双方同时进行治疗。因为仅一方治疗是无效的,治疗不有效,还是会在性生活中造成相互感染,严重的破坏家庭幸福,严重可造成家庭破裂。
医师提醒:了解了尖锐湿疣的四大危害,相信很多患者对尖锐湿疣再次多了些重视。如果患有尖锐湿疣一定要去正规专科医院就医,并且禁止性生活,以免传染给对方。
建议方法:上海长虹医院“GPH泌尿生殖感染康复术”有效治疗尖锐湿疣、避免反复发作
为了解决传统方法的弊端,上海长虹医院泌尿外科医师研发的“GPH泌尿生殖感染康复术”以一次性治疗尖锐湿疣、避免反复发作等优势得到了广大患者的一致好评。
该方法将所感染的HPV病毒进行生物学分型检测分型,经特殊培养、提纯、灭活、减毒等特殊过程使之成为病毒抗原,然后选择特定型别的抗原肽刺激抗原提呈细胞,制作成特定型别的病毒抗原(自体疫苗),较后将自体疫苗注射到原患者体内,有效杀灭细胞内病毒和组织深层的游离病毒,从而达到有效治好的目的。
“GPH泌尿生殖感染康复术”四大优势:
(1)先进诊疗系统,准确诊断分析变异病毒各亚型
通过先进的基因芯片病毒检测系统,明确的诊断致病微生物的类型和各种亚型病毒,并将其特性进行收集储存,引导后续的明确杀灭,为有效治好提供了理想的的诊断依据。
(2)光动基因引导,选择杀灭病毒靶目标不伤组织
治疗在光动和基因病毒检测分析的基础上严格明确进行,只对符合病毒特性的耙组织进行杀灭和破坏,对正常的生理组织没有任何损伤和影响。这样不但有效杀灭病毒而且利于机体恢复,保证了治疗效果。
(3)基因免疫调节,恢复机体免疫机能增强免疫力
通过基因免疫制剂和医疗系统对免疫机制的调节作用,使得发病前免疫系统和细胞免疫系统的缺陷得到修复,同时对病毒抑制的免疫功能进行恢复,免疫功能得到提高。双向恢复免疫机能可大幅增强对病毒的吞噬作用。
(4)光动诱导免疫,切断病毒基因链催坏其繁殖力
通过光敏制剂引导下影响病毒DNA的细胞代谢,破坏基因链的结构,避免病毒的再复制繁殖和变异更新。治疗过程痛感小、快速有效、费用经济。



